Ροτβάιλερ 5 μηνών με αποσπαστικό κάταγμα κνημιαίου κυρτώματος.
Φωτογραφίες πρίν και μετά το χειρουργείο.



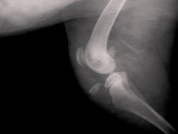
Rottweiller θηλυκό 4-5 μηνών με αποσπαστικό κάταγμα κνημιαίου κυρτώματος αριστερού οπίσθιου άκρου προ 2 ημερών.
Το χειρουργείο πραγματοποιήθηκε στις 21/10/09
Η προνάρκωση του ζώου έγινε με ξυλαζίνη και ατροπίνη. Εγκατάσταση αναισθησίας με πεντοθάλη 2,5% και διατήρηση αναισθησίας
με εισπνεύσιμο ανισθητικό (ισοφλουράνιο). Διεγχειρητικά χορηγήθηκαν αντιβιοτικά Zinacef 325 mg, Dalacin 1,5 ml και Gentamycin 75 mg.
Η αποκατάσταση του κατάγματος έγινε με τοποθέτηση 2 ήλων Kirschner και μεταλλικό ράμμα se tension band wire στην πρόσθια επιφάνεια
της κνήμης.
Μετεγχειρητικά τις δύο πρώτες μέρες χορηγήθηκε Zinacef 320 mg BID, Dalacin 10mg/kg BID και Gentamycin 75 mg BID.
Απο την τρίτη μετεγχειρητική ημέρα χορηγείται Clindavet 1 χάπι 150 mg BID και Cefaseptin 1 χάπι 600 mg BID και για 5 ημέρες.
Συμετέχοντες : Ηλίας Σιδεράς, Δημήτρης Σιδεράς
