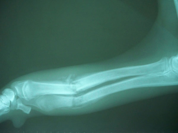
Ελληνικός ποιμενικός 7 μηνών με κάταγμα στο αντιβράχιο.
Χειρουργήθηκε και είναι απολύτως φυσιολογικό. Οι ακτινογραφίες είναι πριν και μετά το χειρουργείο.


Τσοπανόσκυλο 7 μηνών με 2 εβδομάδων τέλειο κάταγμα κάτω τρίτου μεσότητας διάφυσης αριστερής κερκίδας και ωλένης.
Στις 5/1209 πραγματοποιήθηκε ορθοπεδικό χειρουργείο. Η προνάρκωση του ζώου έγινε με ξυλαζίνη και ατροπίνη, η εγκατάσταση
της αναισθησίας με πεντοθάλη 2,5 % και διατήρηση της αναισθησίας με εισπνεύσιμο αναισθητικό ( ισοφλουράνιο).
Διεγχειρητικά χορηγήθηκε Tolfendine 3ml, Dalacin 10mg/kg και Marbocyl 3ml.
Αποκατάσταση του κατάγματος έγινε με τοποθέτηση μεταλλικής πλάκας στην έσω επιφάνεια της κερκίδας με 6 κοχλίες στο κεντρικό
τμήμα και 4 κοχλίες στο περιφερικό τμήμα. Μετεγχειρητικά χορηγήθηκε για 5 ημέρες Dalacin 10mg/kg BID.
