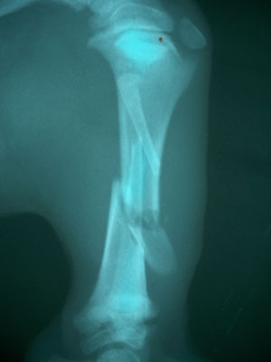
Θηλυκό σκυλάκι ακαθόριστης κυνηγετικής φυλής 2,5 μηνών και 4,5 kg με τμηματικό κάταγμα τουλάχιστον 7 ημερών μεσότητας διάφυσης αριστερής κνήμης και περόνης.
Το χειρουργείο πραγματοποιήθηκε στις 24/01/10.Προνάρκωση έγινε με 0,4ml ξυλαζίνη, 0,2ml ατροπίνη, εγκατάσταση με πεντοθάλη 1,25% και διατήρηση της αναισθησίας με ισοφλουράνιο.
Προεγχειρητικά χορηγήθηκαν :RYMANDIL 0,4ml, DALACIN 0,4ml, VIFAZOLIN 1,5ml, GENTAMYCIN 0,25ml.
Μετά την ανάταξη του κατάγματος και την συγκράτηση του απολλύματος με μεταλλικό ράμμα τοποθετήθηκε στην έσω επιφάνεια της κνήμης μεταλλική πλάκα 2,7mm και 3 κοχλίες 2,7 mm στο κεντρικό τμήμα και 3 κοχλίες 2,7 mm στο περιφερικό.Κατά την διάρκεια του χειρουργείου διαπιστώθηκε ο,τι κλώτσησαν 4 από τους κοχλίες. 3 περιφερικά και γι΄ αυτό τοποθετήθηκαν δύο μεταλλικά ράμματα και 1 κοχλίας κεντρικά και τοποθετήθηκε 1 μεταλλικό ράμμα.
Μετεγχειρητικά χορηγήθηκε VIFAZOLIN 1,5ml BID και DALACIN 0,3ml BID για 2-3 ημέρες. Και στη συνέχεια χορηγήθηκε CLINDAVET 75mg 1 χάπι BID για 7 ημέρες και 0,5ml CONVENIA.Η αποκάτασταση ήταν 100% και τα υλικά αφαιρέθηκαν 3 μήνες μετά .
Xειρουργοί:Σιδεράς Δημήτρης,Πούπαλος Γεώργιος




