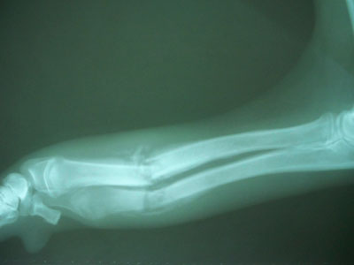
Τσοπανόσκυλο 7 μηνών με 2 εβδομάδων τέλειο κάταγμα κάτω τρίτου μεσότητας διάφυσης αριστερής κερκίδας και ωλένης. (από φιλοζωικό Πέραμα)
Στις 5/12/09 πραγματοποιήθηκε ορθοπεδικό χειρουργείο.Προνάρκωση του ζώου έγινε με ξυλαζίνη και ατροπίνη, η εγκατάσταση της αναισθησίας με πεντοθάλη 2,5% και διατήρηση της αναισθησίας με εισπνεύσιμο αναισθητικό (ισοφλουράνιο).Διεγχειρητικά χορηγήθηκε TOLFENDINE 3ml, DALACIN 10mg/kg και MARBOCYL 3ml.
Aποκατάσταση του κατάγματος έγινε με τοποθέτηση μεταλλικής πλάκας στην έσω επιφάνεια της κερκίδας με 6 κοχλίες στο κεντρικό τμήμα και 4 κοχλίες στο περιφερικό τμήμα.
Μετεγχειρητικά χορηγήθηκε για 5 ημέρες DALACIN 10mg/kg BID.


